(561) 919-6870
NOTIFICATION
MOST DENTAL INSURANCES ACCEPTED - CALL NOW!
BOOK NOW
info@dentalamerica.com
4756 N Congress Ave, Boynton Beach, FL 33426, United States
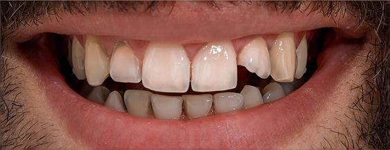
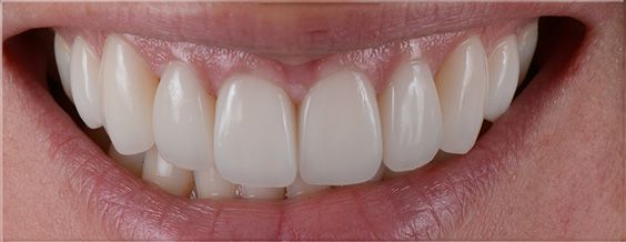
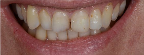
Discover the stunning transformations in our smile gallery, where advanced cosmetic and restorative treatments turn everyday smiles into radiant, confident results.