What We Treat
Oral Health

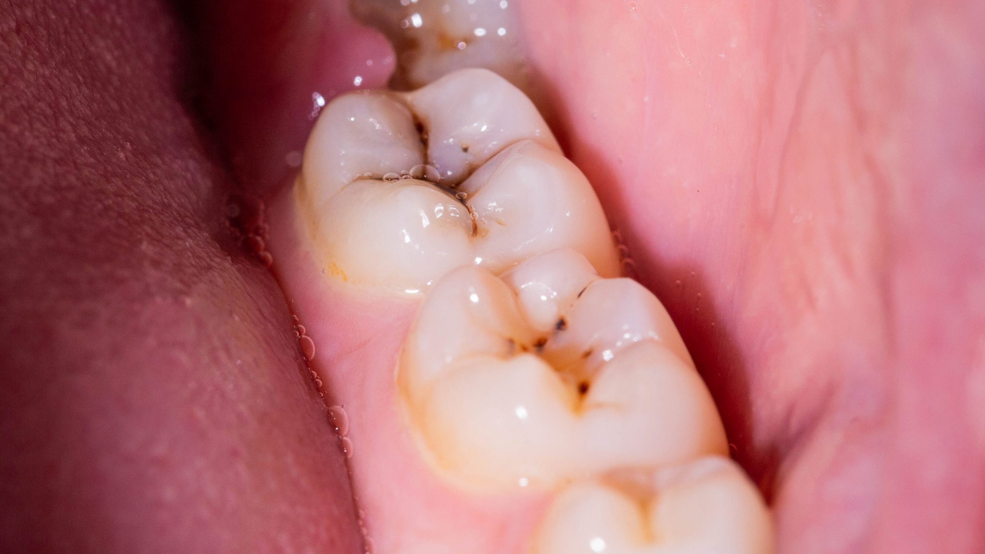
Cavities and Dental Decay
Cavities, also known as dental caries, occur when oral bacteria produce acids that break down the enamel. If left untreated, decay can spread deeper into the tooth, causing pain, infection, or even tooth loss. We treat cavities with: tooth-colored fillings, fluoride treatments, and early detection techniques to preserve as much of your natural tooth as possible.

Cracked and Chipped Teeth
Damage from accidents, teeth grinding, or biting hard foods can leave teeth cracked or chipped. These issues not only affect appearance but may also expose sensitive areas and risk further breakage. We restore damaged teeth using: dental bonding, tooth-colored fillings, veneers, or crowns based on the extent of the damage.

Failing, Missing, or Knocked Out Teeth
Tooth loss or failure can happen due to decay, trauma, gum disease, or injury. Missing teeth affect your ability to chew, speak, and smile confidently, while a knocked-out tooth needs urgent care to improve the chances of saving it. We restore your smile and function with: dental implants, bridges, dentures, or emergency reimplantation for avulsed teeth.

Toothaches and Sensitive Teeth
Tooth pain can result from deep decay, nerve inflammation, gum recession, or enamel erosion. Sensitive teeth often react to hot, cold, or sweet foods and drinks. We relieve discomfort by: identifying the underlying cause through exams and X-rays, followed by desensitizing treatments, fillings, root canals, or protective restorations.

Stained and Discolored Teeth
Discoloration can be caused by coffee, tea, wine, smoking, medication, or aging. Stains may be surface-level or deeper within the tooth. We brighten your smile with: professional teeth whitening, veneers, or cosmetic bonding to restore a clean, radiant appearance.

Dental Anxiety
Many people feel anxious about dental care due to past experiences, fear of pain, or sensory triggers. This can prevent them from seeking regular treatment. We support anxious patients with: a calm, compassionate approach, open communication, and sedation options like nitrous oxide or oral sedatives.

Bad Breath
Persistent bad breath may indicate gum disease, dry mouth, poor hygiene, or other underlying health issues. It can impact self-esteem and oral health. We treat halitosis by: addressing its root cause through cleanings, periodontal care, dry mouth management, and personalized hygiene guidance.

Gum Disease
Gum disease develops when plaque leads to inflammation and infection of the gums. Without treatment, it can damage tissue and bone, eventually leading to tooth loss. We treat gum diseases like Bleeding Gums, Periodontitis and Gum Recession.

Misaligned Teeth
Crooked, crowded, or rotated teeth can impact your bite, make oral hygiene more difficult, and affect your overall confidence. Misalignment may also contribute to jaw strain and increase the risk of plaque buildup in hard-to-reach areas.




